Dr. Shekhar Agarwal : Best Hip Replacement Surgeon
“Hip replacement is a surgical procedure in which the hip joint is replaced by a prosthetic implant. Hip replacement surgery can be performed as a total replacement or a hemi (half) replacement. Suchhipjoint replacement orthopedic surgeryin Indiais generally conducted to relieve arthritic pain or fix severe physical joint damage as part of hip fracture treatment or Avascular Necrosis.
A total hip replacement (total hip arthroplasty) consists of replacing both the acetabulum and the femoral head while hemiarthroplasty generally only replaces the femoral head. Hip replacementin Indiais currently the most successful and reliable orthopedic operation with 97% of patients reporting improved outcome even after 10 years.
At Sant Parmanand Hospital, such complicated hip and joint replacement cases in India are referred to Dr.Shekhar from around the country. He has extensive experiencein performing these surgeries and his results have been very satisfactory.
| Pre-Operation | Post-Operation |
(clickimage for enlarge view) | ![]() (clickimage for enlarge view) |
| Pre-Operation | Post-Operation |
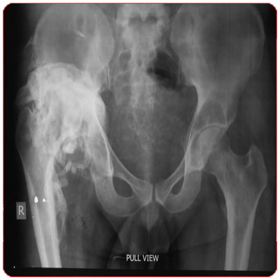
![]() Rheumatoid arthritis with destroyed hip joints (clickimage for enlarge view) | ![]() Bilateral Uncemented Total Hip Replacement (clickimage for enlarge view) |





